歯周病が進行するとどうなる?進行を抑える方法や治療方法、放置リスク|港区虎ノ門駅より徒歩10秒の歯医者|虎ノ門まさいデンタル・矯正歯科クリニック

〒105-0001東京都港区虎ノ門1-1-23 虎ノ門東宝ビル2階

Tel.03-3504-1080

WEB予約
院内イメージ

歯周病が進行するとどうなる?進行を抑える方法や治療方法、放置リスク

歯周病が進行するとどうなる?進行を抑える方法や治療方法、放置リスク|港区虎ノ門駅より徒歩10秒の歯医者|虎ノ門まさいデンタル・矯正歯科クリニック

2025年1月10日

歯周病が進行するとどうなる?進行を抑える方法や治療方法、放置リスク

こんにちは。東京都港区「虎ノ門駅」より徒歩30秒にある歯医者「まさいデンタルクリニック」です。

歯周病は、多くの人が抱える口腔内の健康問題の一つですが、進行すると深刻な影響を及ぼすことがあります。歯茎の腫れや出血から始まり、最終的には歯を失う原因にもなりかねません。

この記事では、歯周病が進行するとどのような状態になるのか、その進行を抑えるためにはどうしたらいいのか詳しく解説します。歯周病を放置した場合のリスクについても解説しますので、ぜひ参考にしてください。

歯周病のメカニズム

歯周病で歯ぐきが赤く腫れている様子

歯周病は、歯と歯茎の間に歯垢(プラーク)がたまることで引き起こされる炎症性疾患です。歯垢には多くの細菌が含まれており、それらが歯茎に炎症を引き起こします。

この炎症が進行すると、歯茎が赤く腫れたり、ブラッシング時に出血したりすることがあります。歯垢が硬化して歯石になると、通常の歯磨きでは取り除けなくなり、細菌が増殖しやすい環境を作ります。これが歯周病を悪化させる大きな要因となります。

初期段階は歯肉炎と呼ばれ、軽度な症状にとどまりますが、進行すると歯周炎となり、歯茎の奥深くや骨組織にまで影響を及ぼす可能性があります。

歯周病が進行すると、歯と歯茎の間に歯周ポケットと呼ばれる隙間ができます。歯周ポケットが深くなると細菌が歯茎の奥深くまで侵入しやすくなり、歯周組織や歯を支える骨を破壊することがあるのです。

歯周ポケットの深さは、歯周病の進行度を判断する重要な指標となります。歯周ポケットが深くなると、治療が難しくなるだけでなく、最終的には歯の喪失につながる危険性も高まります。

歯周病の進行段階

歯周病が進行してしまった口腔内

歯周病はその進行度合いに応じていくつかの段階に分類されます。進行段階によって、症状の現れ方や治療法が異なるため、事前によく理解しておくことが重要です。

歯肉炎

歯周病の初期の段階は歯肉炎です。この段階では、歯垢の蓄積によって歯茎が炎症を起こし、赤く腫れることがあります。ブラッシング時に出血する場合もありますが、痛みを感じることは少ないため、気づかないことが多いのが特徴です。

この段階では、自宅でしっかりとブラッシングを行い、また歯科医院で歯のクリーニングを受けることで、進行を抑えることが可能です。

軽度から中等度の歯周炎

歯肉炎を放置すると、炎症が歯茎の深部にまで進行し、歯周炎となります。この段階では歯周ポケットが形成されはじめ、歯を支える組織にダメージが及びます。歯茎が後退し、歯が以前よりも長く見えることもあります。また、口臭が気になりはじめるのもこの段階です。

軽度から中等度の歯周炎の場合は、進行を抑えるために、専門的な歯石除去や歯周ポケット内のクリーニングが必要です。

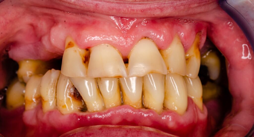
重度の歯周炎

重度の歯周炎では、歯を支える骨が大きく破壊され、歯がぐらつくようになります。この段階にまで進行すると、歯茎が腫れるだけでなく、膿が出たり強い口臭が発生したりなど、症状が顕著になります。最悪の場合には、抜歯が必要になることもあるでしょう。

歯周病の進行を抑える方法

歯周病の進行を抑えるために歯科検診を受ける女性

歯周病の進行を抑えるためには、日常のケアと定期的な歯科医院でのチェックが不可欠です。以下では、歯周病の進行を抑えるために有効な方法を具体的に解説します。

しっかりと歯磨きをする

歯周病の進行を防ぐためには、しっかりと歯磨きをすることが重要です。特に歯と歯茎の境目を意識して丁寧にブラッシングしてください。歯ブラシは柔らかめのものを選び、力を入れすぎずに磨きましょう。

また、電動歯ブラシを使用することで効率的に歯垢を除去することができます。さらに、歯磨き後にデンタルフロスや歯間ブラシを使うことで、歯ブラシだけでは落としきれない細かい部分に付着した汚れも取り除くことができます。

食生活を改善する

歯周病の進行を防ぐためには、バランスの取れた食事も大切です。特にビタミンCやカルシウムを多く含む食品を摂ることで、歯茎や骨を健康な状態に保つことができます。

一方で、砂糖を多く含む食品や酸性の強い食品は控えましょう。また、水分を十分に摂取することで唾液の分泌を促し、口内環境を整えることも重要です。

定期的に歯科検診を受ける

日常のケアに加えて、定期的に歯科医院で検診を受けることが歯周病の進行を防ぐ鍵となります。歯垢は時間が経つと硬化して歯石になり、歯ブラシでは除去できなくなるため、歯科医院でのプロフェッショナルケアが必要です。

また、歯周ポケットの深さを測定してもらうことで、歯周病の進行状況を正確に把握し、現状に合う治療を受けることができます。

歯周病の進行段階別の治療方法

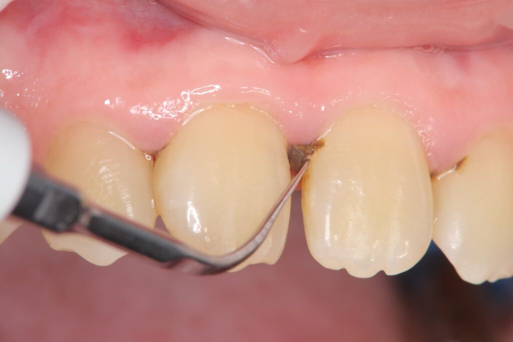
歯周病の治療のためケーリングと呼ばれる歯石除去を行っているところ

歯周病の治療方法は進行度によって異なります。早期の段階で治療を受けることで、進行を食い止めやすくなります。以下では、進行段階ごとの治療方法を詳しく解説します。

歯肉炎の治療

歯肉炎の段階では、基本的な口腔ケアとプロフェッショナルクリーニングが主な治療方法となります。歯科医院では、スケーリングと呼ばれる歯石除去が行われ、これにより炎症を抑えることができます。

また、正しい歯磨きの方法やデンタルフロスの使い方についての指導も受けられます。これによって、自宅での口腔ケアの質が向上するでしょう。早いうちからケアを行うことで歯周病の進行を防ぐことが可能になります。

軽度から中等度の歯周炎の治療

軽度から中等度の歯周炎では、スケーリングに加えてルートプレーニングという処置を行います。この処置では、歯の根元を滑らかにし、細菌の再付着を防ぐことを目的としています。

この段階では、自宅でのケアと歯科医院での定期的な治療を組み合わせることで、歯周病の進行を食い止めることが可能です。

重度の歯周炎の治療

進行した重度の歯周炎では、外科的治療が必要になることがあります。具体的には、歯周ポケットの深くに付着した歯石を除去するフラップ手術や、失われた歯周組織を再生する歯周組織再生療法が行われることがあります。

また、抜歯が必要になった場合には、入れ歯やインプラント、ブリッジで失った歯を補う必要があります。

歯周病が進行するのを放置するリスク

歯周病が進行するのを放置するリスクのイメージ

歯周病を放置すると、口腔内だけでなく全身にも深刻な影響を及ぼす可能性があります。以下では、歯周病を治療せずに放置した場合の主なリスクについて解説します。

歯を失う可能性がある

歯周病が進行すると、歯を支える骨や歯周組織が破壊され、最終的には歯が抜け落ちることがあります。歯の喪失は見た目や食事だけでなく、発音にも影響を与えるため、生活の質が大きく低下します。

また、失った歯を補うためには入れ歯やインプラント、ブリッジなどの治療が必要になり、追加で費用がかかる場合があります。

口腔内環境が悪化する

歯周病を放置すると、口臭が強くなったり膿が排出されたりなどして口腔内環境が悪化する可能性があります。また、虫歯になるリスクも高まるでしょう。

全身疾患を引き起こす可能性がある

歯周病は全身疾患と密接に関連していることが多くの研究で示されています。

歯周病菌が血液に入り込み、全身をめぐると、糖尿病や心筋梗塞、脳梗塞などの全身疾患を引き起こすリスクが高まるのです。また、妊婦の場合は早産や低体重児出産のリスクが増加する可能性もあります。

これらのリスクを回避するためにも、歯周病になった場合は早期に治療を受けることが重要なのです。

まとめ

歯周病の治療をして美味しく食事を楽しむ老人

歯周病は、歯と歯茎の炎症から始まり、進行すると歯を支える骨や組織を破壊する深刻な疾患です。治療を受けないまま放置すると、歯を失うリスクが高まるだけでなく、全身の健康にも影響を及ぼす可能性があります。

これらを防ぐためには、初期の段階で治療を受けることが非常に重要です。毎日しっかりとブラッシングを行い、定期的に歯科検診を受けて歯周病の進行を防ぎましょう。

歯周病の治療を検討されている方は、東京都港区「虎ノ門駅」より徒歩30秒にある歯医者「まさいデンタルクリニック」にお気軽にご相談ください。

当院では、虫歯・歯周病治療、矯正治療、インプラント治療など、さまざまな診療に力を入れております。診療案内ページはこちらご予約・お問い合わせも受け付けております。

TOP