2023年10月16日
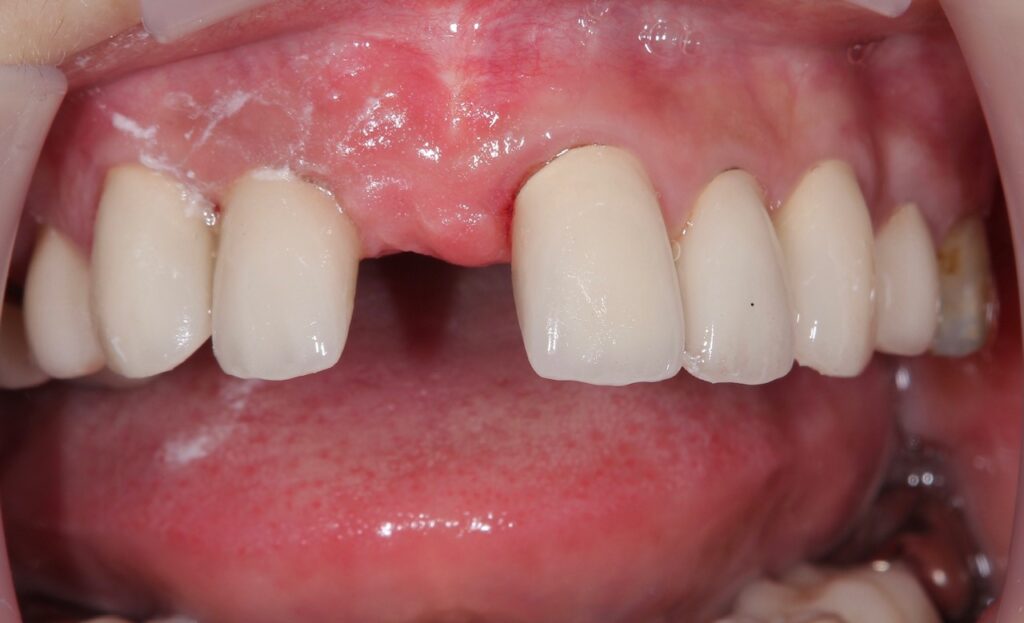
右上前歯を歯根破折で抜歯された方です。
抜いてから2ヶ月程経過されていて、歯間乳頭がだいぶ無くなっていました。
(赤丸部分)

歯を失った部分は、両隣りの歯にセラミックが入っていたため、ブリッジでの治療を提案しましたが、連結した被せ物を入れると虫歯になりやすく、ケアが難しくなるので、繋げないインプラントでの治療をご希望されました。
実際に歯茎に切開を入れてみると、抜歯した部位以外に、隣の歯も骨の吸収が進んで、根がかなり露出していました。

インプラントを入れる為にドリルで骨に穴を開けた所です。

インプラントを入れ、その上と隣の露出した根の部分の骨造成を行ないました。
根の部分の骨を作る為には、本来根の周りにある歯根膜と言う線維も再生させないと骨は出来ないので、エムドゲインと言う再生治療薬と、Bio-ossと言う骨補填剤を併用しています。

歯茎を縫合した所です。

術後半年経過です。

かなり歯茎のボリュームが増えているのがわかります。

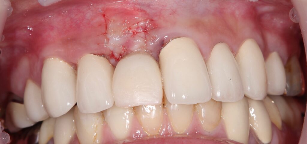
2次オペをして仮歯を入れた所です。
歯茎の組織はとても繊細なので、ティッシュスカルプティングと言って、仮歯の膨らみを少しずつ変化させて、その圧力で歯茎の形を誘導して行きます。


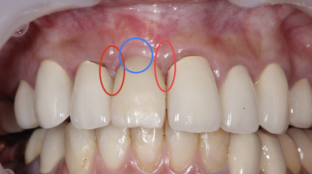
徐々に仮歯の膨らみを変えていき、この時点でほぼ歯間乳頭(赤丸部)、歯頚線(青丸部)が両隣りの歯と調和してきたのがわかります。

ここまで治ったら、最終的な被せ物を入れる為の型採りです。通常のインプラントの被せ物の型を採る器具に、仮歯の豊隆を樹脂でコピーします。

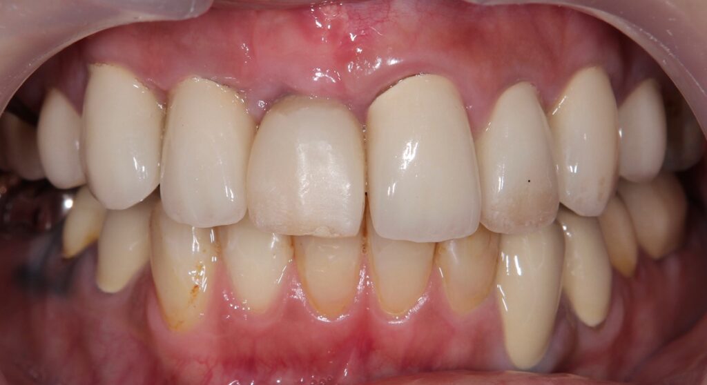
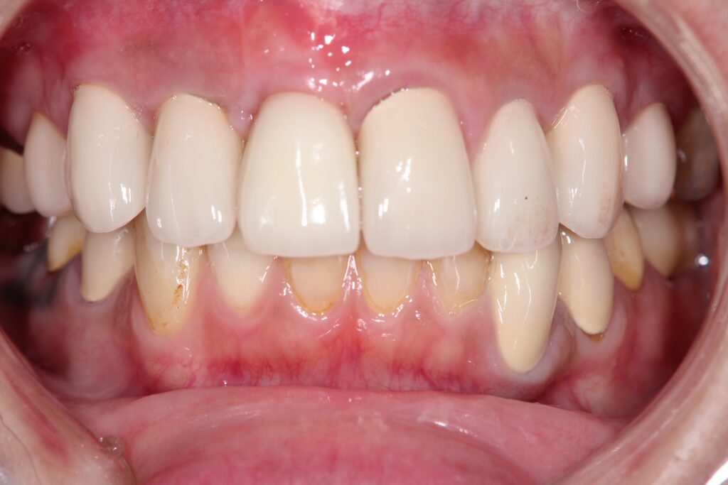
最終的な被せ物をセットした所です。

術前後の比較です。
(写真の撮り方で色が違うのは申し訳ありません)

